AdeptTect General purpose direct PCR premix (with dye)

Product Code: AG12304

- +

¥600

Product Description

This product is a 2-fold pre-mixed reagent for general-purpose direct PCR reaction, with strong amplification performance and wide applicability of templates, it can effectively amplify complex templates such as those with high GC content and high AT content. It is especially suitable for PCR amplification after direct or simple lysis of various types of samples, including animals, plants, fungi, bacteria, blood and cells, etc. No DNA purification step is required, which greatly shortens the length of experiments and saves costs. Simple cleavage can be done by alkaline cleavage or proteinase K cleavage. If proteinase K cleavage is chosen, our products Lysis Buffer for PCR (Code No. AG12306 and AG12307) can be used. Meanwhile, this product has a fast extension speed (~20 sec / kb), which can obtain the results in a short period of time.
For PCR reaction, just add the template, primer and water into the premix solution for amplification; at the same time, the color reagent required for electrophoresis detection is also added into this product, and the solution appears purple-red color; after the PCR reaction is completed, it can be used for agarose gel electrophoresis directly. This premix solution is easy to operate and minimizes human error.
A monoclonal antibody that inhibits the activity of DNA polymerase at room temperature has been added to this product to enable Hot Start PCR, which effectively inhibits the formation of primer dimers and non-specific amplification. The PCR product amplified by this product does not contain the A base at the 3’ end, so it cannot be used directly for TA cloning.

Product Advantages

① This product has strong amplification performance and wide applicability of templates, which is suitable for PCR amplification of various types of samples after direct or simple lysis; it does not require DNA purification, which shortens the length of experiments and saves costs; it can amplify DNA fragments of up to 12 kb in length by directly using rice leaves as templates.
② This product is a 2-fold concentration of premixed solution, only need to add the template, primers and water for PCR amplification, easy to operate, reduce human error, greatly improve the efficiency of the experiment.
③ The product has a fast elongation speed (~20 sec / kb), which allows the test results to be obtained in a relatively short period of time.
④ This product contains violet dye, after PCR can be directly carried out agarose gel electrophoresis, without adding electrophoresis sample buffer, electrophoresis has a light violet-red indicator band.
⑤ The optimized reaction system is well adapted to PCR amplification of complex templates, and is effective for templates with high GC content and high AT content.

Product Composition
individual parts making up a compound norm
2X Universal Direct PCR Master Mix (dye plus) 500 μl × 6 pcs
Preservation and transportation
Storage temperature: -20℃
Transportation temperature: dry ice or -20℃ ice bag
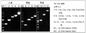
Example 1

The use of this kit to directly amplify blood of different species (containing EDTA anticoagulant) resulted in excellent amplification.

The electrophoresis results are shown below:

Example 2

The direct amplification of human blood preserved with different anticoagulants using this kit yielded excellent amplification results.

The electrophoresis results are shown below:

Example 3

The direct amplification of different plant samples using this kit yielded excellent amplification results.

The electrophoresis results are shown below:

Example 4

Rice leaves, spinach leaves, rat tail and other materials are simply lysed by proteinase K method [Lysis Buffer for PCR (Code No. AG12306)], and yeast is simply lysed by alkaline lysis method; and the lysed products are used as templates to amplify different DNA fragments by using this kit, and all of them can obtain very good amplification effect.

*: Rice leaves extend at 20 sec ~ 24 sec / kb;
*: Spinach leaves extend at 18 sec ~ 24 sec / kb;
*: Mouse tail tissues extend at 20 sec ~ 36 sec / kb;
*: Yeast liquid extension rate is 20 sec ~ 40 sec / kb.

The electrophoresis results are shown below:

table of examples of experiments
Template Type Amplification speed Fragment size (kb) Sequence GC content simple cleavage (physics) direct amplification
Amount of template after cleavage*2 Can it be amplified*1 Direct template volume*1 Can it be amplified*1
human blood 30 sec / kb 1 kb 36.1% / / 2 μl
human blood 30 sec / kb 2 kb 38.1% / / 2 μl
human blood 30 sec / kb 3 kb 38.7% / / 2 μl
human blood 30 sec / kb 4 kb 36.0% / / 2 μl
human blood 30 sec / kb 6 kb 40.0% / / 2 μl
pig's blood 30 sec / kb 0.6 kb 47.6% / / 2 μl
pig's blood 30 sec / kb 0.8 kb 50.2% / / 2 μl
pig's blood 30 sec / kb 2 kb 57.9% / / 2 μl
pig's blood 30 sec / kb 2.9 kb 37.7% / / 2 μl
chicken blood 20 sec / kb 0.5 kb 41.0% / / 2 μl
chicken blood 20 sec / kb 1.2 kb 36.6% / / 2 μl
chicken blood 30 sec / kb 1.7 kb 68.6% / / 2 μl
chicken blood 30 sec / kb 2.4 kb 49.4% / / 2 μl
sheep's blood 20 sec / kb 1.6 kb 66.9% / / 2 μl
sheep's blood 20 sec / kb 2.4 kb 67.1% / / 2 μl
sheep's blood 30 sec / kb 5.6 kb 67.2% / / 2 μl
rat blood 30 sec / kb 1 kb 52.2% / / 2 μl
rat blood 30 sec / kb 2.6 kb 65.2% / / 2 μl
rat blood 30 sec / kb 3.4 kb 53.4% / / 2 μl
rat blood 30 sec / kb 4 kb 49.8% / / 2 μl
rat blood 30 sec / kb 5 kb 49.8% / / 2 μl
rat's toe 30 sec / kb 1 kb 52.2% 2-4μl lysate
(1-2 simple cleavage of rat's toe)
1-2 rats' toes *3
rat's toe 30 sec / kb 2.6 kb 65.2% 2-4μl lysate
(1-2 simple cleavage of rat's toe)
× ×
rat's toe 30 sec / kb 3.4 kb 53.4% 2-4μl lysate
(1-2 simple cleavage of rat's toe)
1-2 rats' toes *3
rat's toe 30 sec / kb 4 kb 49.8% 2-4μl lysate
(1-2 simple cleavage of rat's toe)
× ×
rat's toe 30 sec / kb 5 kb 49.8% 2-4μl lysate
(1-2 simple cleavage of rat's toe)
× ×
rat's tail 30 sec / kb 1 kb 52.2% 2-4μl lysate
(2-3mm rat tail simple cleavage)
2-3 mm *3
rat's tail 30 sec / kb 2.6 kb 65.2% 2-4μl lysate
(2-3mm rat tail simple cleavage)
× ×
rat's tail 30 sec / kb 3.4 kb 53.4% 2-4μl lysate
(2-3mm rat tail simple cleavage)
2-3 mm *3
rat's tail 30 sec / kb 4 kb 49.8% 2-4μl lysate
(2-3mm rat tail simple cleavage)
× ×
rat's tail 30 sec / kb 5 kb 49.8% 2-4μl lysate
(2-3mm rat tail simple cleavage)
× ×
mouse ear 30 sec / kb 1 kb 52.2% 2-4μl lysate
(4-10mm)2 (simple cleavage of mouse ear)
4-10 mm2 *3
mouse ear 30 sec / kb 2.6 kb 65.2% 2-4μl lysate
(4-10mm)2 (simple cleavage of mouse ear)
× ×
mouse ear 30 sec / kb 3.4 kb 53.4% 2-4μl lysate
(4-10mm)2 (simple cleavage of mouse ear)
4-10 mm2 *3
mouse ear 30 sec / kb 4 kb 49.8% 2-4μl lysate
(4-10mm)2 (simple cleavage of mouse ear)
× ×
mouse ear 30 sec / kb 5 kb 49.8% 2-4μl lysate
(4-10mm)2 (simple cleavage of mouse ear)
× ×
Rice Leaf 20 sec / kb 1 kb 45.6% 2-4μl lysate
(4-10mm)2 (leaf simple cleavage)
4-10 mm2
Rice Leaf 20 sec / kb 3 kb 41.5% 2-4μl lysate
(4-10mm)2 (leaf simple cleavage)
4-10 mm2
Rice Leaf 30 sec / kb 5 kb 40.5% 2-4μl lysate
(4-10mm)2 (leaf simple cleavage)
4-10 mm2
Potato tubers 30 sec / kb 1.3 kb 39.5% 2-4μl lysate
(5-10mm)3 (tuber simple cleavage)
4-10 mm2
Potato tubers 30 sec / kb 2 kb 39.6% 2-4μl lysate
(5-10mm)3 (tuber simple cleavage)
4-10 mm2
Potato tubers 30 sec / kb 2.9 kb 38.2% 2-4μl lysate
(5-10mm)3 (tuber simple cleavage)
4-10 mm2
Potato tubers 30 sec / kb 5.8 kb 35.4% 2-4μl lysate
(5-10mm)3 (tuber simple cleavage)
4-10 mm2
Potato tubers 30 sec / kb 10 kb 38.0% 2-4 μl lysate
(5-10mm)3 (tuber simple cleavage)
4-10 mm2
Spinach leaves 20 sec / kb 0.7 kb 38.9% 2-4μl lysate
(4-10mm)2 (leaf simple cleavage)
4-10 mm2
Spinach leaves 20 sec / kb 1 kb 42.3% 2-4μl lysate
(4-10mm)2 (leaf simple cleavage)
4-10 mm2
Spinach leaves 30 sec / kb 5 kb 33.4% 2-4μl lysate
(4-10mm)2 (leaf simple cleavage)
4-10 mm2
Spinach leaves 30 sec / kb 10 kb 35.1% 2-4 μl lysate
(4-10mm)2 (leaf simple cleavage)
4-10 mm2
tomato pulp 20 sec / kb 0.5 kb 28.2% 2-4μl lysate
(2μl pulp simple lysis)
2 μl
tomato pulp 20sec /kb 1.6 kb 32.2% 2-4μl lysate
(2μl pulp simple lysis)
2 μl
tomato pulp 20 sec / kb 1.9 kb 36.0% 2-4μl lysate
(2 μl of pulp simply lysed)
2 μl
tomato pulp 30 sec / kb 3 kb 37.4% 2-4μl lysate
(2μl pulp simple lysis)
2 μl
tomato pulp 30 sec / kb 4.4 kb 37.6% 2-4μl lysate
(2μl pulp simple lysis)
2 μl
tomato pulp 30 sec / kb 5 kb 38.2% 2-4μl lysate
(2μl pulp simple lysis)
2 μl
tomato pulp 30 sec / kb 5.8 kb 37.6% 2-4μl lysate
(2μl pulp simple lysis)
× ×
Arabidopsis thaliana leaf 30 sec / kb 2.2 kb 35.2% 2-4μl lysate
(4-10mm)2 (leaf simple cleavage)
/ /
Arabidopsis thaliana leaf 30 sec / kb 3 kb 41.0% 2-4μl lysate
(4-10mm)2 (leaf simple cleavage)
/ /
Arabidopsis thaliana leaf 30 sec / kb 5 kb 38.0% 2-4μl lysate
(4-10mm)2 (leaf simple cleavage)
/ /
corn kernel 30 sec / kb 1 kb 52.4% 2-4μl lysate
(5-10mm)3 (Simple cleavage of embryonic tissue)
× ×
corn kernel 30 sec / kb 1.8 kb 0.48 2-4μl lysate
(5-10mm)3 (Simple cleavage of embryonic tissue)
× ×
yeast solution 20 sec / kb 0.7 kb 42.5% 2-4μl lysate
(Simple lysis of 20μl of bacterial solution)
× ×
yeast solution 20 sec / kb 1 kb 41.0% 2-4μl lysate
(Simple lysis of 20μl of bacterial solution)
× ×
yeast solution 20 sec / kb 1.3 kb 58.2% 2-4μl lysate
(Simple lysis of 20μl of bacterial solution)
× ×
yeast solution 30 sec / kb 1.7 kb 58.1% 2-4μl lysate
(Simple lysis of 20μl of bacterial solution)
× ×
yeast solution 30 sec / kb 3.9 kb 45.6% 2-4μl lysate
(Simple lysis of 20μl of bacterial solution)
× ×
Escherichia coli colony 20 sec / kb 1 kb 53.8% / / single colony
Escherichia coli colony 20 sec / kb 2 kb 51.1% / / single colony
Escherichia coli colony 20 sec / kb 3.5 kb 52.2% / / single colony
Escherichia coli colony 20 sec / kb 5 kb 53.2% / / single colony
Escherichia coli colony 20 sec / kb 6.7 kb 51.8% / / single colony
Escherichia coli colony 20 sec / kb 11 kb 50.7% / / single colony

*1: √ indicates that amplification was possible, × indicates that the target band was not amplified, and / indicates that amplification was not performed.
*2: Simple lysis using our product Lysis Buffer for PCR (Code. AG12306).
*3: If the electrophoresis shows hanging holes, add 1-3 μl (20 mg/ml) of protease (adjusted according to the severity of hanging holes), centrifuge for 5 min and then electrophoresis again, and the target bands can be seen.