产品描述
本制品是 ApexHF HS DNA Polymerase FS 即用型的 2 倍浓度 PCR 反应预混液。进行 PCR 反应时,只需向预混液中加入模板和引物即可进行扩增。这种预混液方案操作简便,在常温下即可快速配置反应液,可最大限度地减少人为误差,在较短时间内即可获得检测结果。本制品具有高扩增效率、高灵敏度、高特异性、高退火效率及延伸速度快等特点,可进行快速 PCR 反应。此外,本制品中还添加了在常温状态下能够抑制 DNA polymerase 活性的单克隆抗体,可以进行 Hot Start PCR,有效抑制引物二聚体的形成及非特异性扩增。
产品优势
① ApexHF HS DNA Polymerase FS 是一种高保真 DNA 聚合酶,具有高扩增效率、高灵敏度、高特异性、高退火效率及延伸速度快等特点。
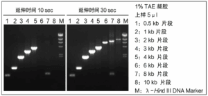
② 延伸速度快,以 Human gDNA 为模板,10sec 的延伸时间,可扩增出长达 4kb 的 DNA片段;进行菌落 PCR 时,10sec 的延伸时间,可扩增出长达 7kb 的 DNA 片段。
③ 本品中添加了能够抑制 DNA polymerase 活性的单克隆抗体,可以进行热启动反应。在进行 PCR 反应前,抗体与酶结合抑制 DNA 聚合酶的活性,有效抑制引物二聚体的形成及非特异性扩增。
② 延伸速度快,以 Human gDNA 为模板,10sec 的延伸时间,可扩增出长达 4kb 的 DNA片段;进行菌落 PCR 时,10sec 的延伸时间,可扩增出长达 7kb 的 DNA 片段。
③ 本品中添加了能够抑制 DNA polymerase 活性的单克隆抗体,可以进行热启动反应。在进行 PCR 反应前,抗体与酶结合抑制 DNA 聚合酶的活性,有效抑制引物二聚体的形成及非特异性扩增。
④ 本制品是 2X 的预混液,仅需添加模板与引物即可进行 PCR 扩增,操作简便,减少人为误差。
⑤ 优化的反应体系,退火效率高,延伸速度快,可提高 PCR 反应效率。
产品组成
| 组分 | 规格 |
| 2X ApexHF FS PCR Master Mix* | 500 μl x 5 pcs |
*2X ApexHF FS PCR Master Mix中的 Mg2+浓度为 2 mM, dNTPs 的浓度为 400 μM 。
保存与运输
保存温度:-20℃
运输温度:干冰运输或者 -20℃ 冰袋运输
运输温度:干冰运输或者 -20℃ 冰袋运输














