产品描述
本品为即用型 L-Exp Taq Enzyme PCR 反应 2 倍浓度的预混液,包含 L-Exp Taq DNA Polymerase、dNTPs 以及优化的 Buffer 体系,进行 PCR 反应时,只需向预混液中加入模板、引物和水即可进行扩增。这种预混液方案操作简便,可最大限度的减少人为误差,减少多步操作可能带来的污染,在较短时间内即可获得检测结果。
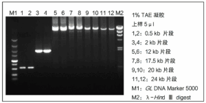
精心优化的 PCR 反应体系,使得本制品具有非常强的长片段扩增性能及扩增复杂模板的能力,以 Human 基因组 DNA 为模板可扩增 ~24 kb 的 DNA 片段;而且,对于难以扩增的较高 GC 含量模板(~75%),扩增成功率高。使用本品获得的 PCR 产物的 3’ 端带有一个 A 碱基,可直接克隆于 T 载体。
精心优化的 PCR 反应体系,使得本制品具有非常强的长片段扩增性能及扩增复杂模板的能力,以 Human 基因组 DNA 为模板可扩增 ~24 kb 的 DNA 片段;而且,对于难以扩增的较高 GC 含量模板(~75%),扩增成功率高。使用本品获得的 PCR 产物的 3’ 端带有一个 A 碱基,可直接克隆于 T 载体。
产品优势
① 本制品为 2X 的预混液,只需向预混液中加入模板、引物和水即可进行扩增,操作简便,可最大限度的减少人为误差,减少多步操作可能带来的污染,在较短时间内即可获得检测结果。
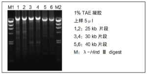
② 2X L-Exp Taq Master Mix 扩增性能好,本产品以 λDNA 为模板可扩增 ~40 kb 的 DNA 片段,以 Human 基因组 DNA 为模板可扩增 ~24 kb 的 DNA 片段。
② 2X L-Exp Taq Master Mix 扩增性能好,本产品以 λDNA 为模板可扩增 ~40 kb 的 DNA 片段,以 Human 基因组 DNA 为模板可扩增 ~24 kb 的 DNA 片段。
③ 本品中添加了高保真酶,相对于 Accurate Taq 具有更高的保真性及更强的扩增能力。在普通的 PCR 扩增条件下,具有扩增效率高、错配率低的特点。
产品组成
| 组分 | 规格 |
| 2X L-Exp Taq Master Mix | 500 μl x 6 pc |
| RNase Free Water | 1 ml x 3 pc |
保存与运输
保存温度:-20℃
运输温度:干冰或者 -20℃ 冰袋运输
运输温度:干冰或者 -20℃ 冰袋运输








