AdeptTect Plant Rapid Direct PCR Premix (with Dye) II

Product Code: AG12311

- +

¥600

Product Description

This product is a pre-mixed reagent specially developed for rapid PCR reaction on plant leaves, which can obtain template for PCR reaction by simply lysing plant leaves without DNA purification; meanwhile, it has a faster extension speed, the fastest can be up to 5 sec/kb, which is suitable for rapid PCR reaction, and can greatly shorten the length of the experimental time and save the cost.
The product is highly compatible and tolerant to PCR suppressors generated after leaf rough cleavage in rice, cotton, Arabidopsis thaliana, soybean, tobacco, potato, etc. The product is highly tolerant to PCR suppressors generated after leaf rough cleavage. Meanwhile, it has high amplification efficiency and can effectively amplify DNA sequences of different lengths and GC contents, which is very suitable for high-throughput screening, transgenic detection and genotyping.
For PCR reaction, just add template, primer and water to the premix for amplification; the product contains the necessary color reagent for electrophoresis, and the product solution is purple-red in color; after the PCR reaction is completed, agarose gel electrophoresis can be carried out directly. This premix is easy to operate, can minimize human error, and obtain results in a short time.
A monoclonal antibody that inhibits the activity of DNA polymerase at room temperature has been added to this product, which can be used for Hot Start PCR to effectively inhibit the formation of primer dimers and non-specific amplification. The 3’ end of the amplified product does not contain the A base, so it cannot be used directly for TA cloning.

Product Advantages

1. Convenient operation: no need for nucleic acid extraction or purification, simple lysis for PCR amplification.
2. High efficiency and speed: fast extension speed, the fastest amplification speed is 5 sec/kb for fragments under 3 kb.
3. Sample compatibility: Suitable for a wide range of plant leaves such as rice, cotton, Arabidopsis, soybean, tobacco and potato.
4. Highly tolerant: Highly tolerant to PCR inhibitors in plant leaf rough cleavage templates.

Product Composition
individual parts making up a compound norm
2X Plant Fast Direct PCR Master Mix (dye plus) II 500μl X 6 pcs
Plant Lysis buffer 12 ml
Proteinase K (20 mg/ml) 120 μl
Preservation and transportation
Storage temperature: -20℃ storage
Transportation temperature: dry ice transportation or -20℃ ice bag transportation
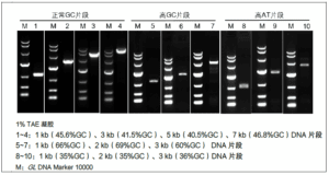
Example 1

Taking the amplification of rice leaf rough cleavage as an example, 5 μl of rough cleavage template was added to 50 μl of the system, and the product was used to amplify fragments of different complexity and lengths, and all of them could obtain very good amplification results.

The electrophoresis results are shown below:

Example 2

The PCR reaction was carried out using the crude cleavage solution of various plant leaves as the template, 50 μl system with 2 ~ 5 μl crude cleavage template, the use of this product can achieve good amplification results.

The electrophoresis results are shown below: